병원소개
관절질환
관절 수술치료
비수술 통증치료
척추질환 치료
커뮤니티
닫기
  1. LOGIN
  2. JOIN
병원소개
관절질환
관절 수술치료
비수술 통증치료
척추질환 치료
커뮤니티
닫기
병원소개
관절질환
관절 수술치료
비수술 통증치료
척추질환 치료
커뮤니티

커뮤니티

GOCHEOK TOP ORTHOPEDICS

고척탑정형외과에서는 환자분의 통증을 개선하기 위한
정밀한 진단과 체계적인 치료 프로세스를 통해 1:1 맞춤 치료가 이뤄지고 있습니다.

치료사례

커뮤니티 치료사례

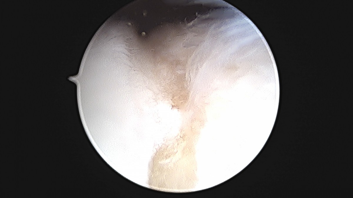
정지영원장님 발목 변연절제술 권공O 환자

페이지 정보

작성자 최고관리자 댓글 0건 조회 743회 작성일 25-09-16 17:04

dae765e4d9ac96aee867c9d6292d8784_1758009855_6748.jpg
dae765e4d9ac96aee867c9d6292d8784_1758009856_2739.jpg
dae765e4d9ac96aee867c9d6292d8784_1758009856_846.jpg
dae765e4d9ac96aee867c9d6292d8784_1758009857_4234.jpg
dae765e4d9ac96aee867c9d6292d8784_1758009857_9957.jpg
dae765e4d9ac96aee867c9d6292d8784_1758009858_588.jpg
dae765e4d9ac96aee867c9d6292d8784_1758009859_1558.jpg
dae765e4d9ac96aee867c9d6292d8784_1758009859_7239.jpg
dae765e4d9ac96aee867c9d6292d8784_1758009860_3071.jpg
dae765e4d9ac96aee867c9d6292d8784_1758009860_8734.jpg
 

댓글목록

등록된 댓글이 없습니다.




환자에게 꼭 필요한 치료, 정성을 다한 치료


여태껏 쌓아온 치료경험과 환자를 생각하는 마음,
그리고 체계적인 진료환경을 바탕으로
한 분의 환자까지 정성을 다해 치료할 수 있도록 최선을 다하겠습니다.


상담/진료안내

02) 6010-7050


오시는 길

서울시 구로구 경인로 387 3층,4층 (고척동 72-49)


오시는 길 의료진소개 진료시간표 온라인상담
문의전화02
6010
7050
TOP
오시는 길 의료진소개 진료시간표 온라인상담 문의전화